
현대인의 바쁜 삶 속에서 눈 건강을 간과하기 쉽습니다. 그러나 황반변성은 단순한 시력 저하를 넘어 일상생활의 질을 심각하게 떨어뜨릴 수 있는 질환입니다. 특히 중장년층에서 급격히 증가하고 있는 이 질병은 조기에 발견하고 적절히 관리하지 않으면 실명에 이를 수 있다는 충격적인 사실을 알고 계셨나요?
당신의 소중한 시력을 지키기 위해 지금 당장 알아야 할 황반변성의 증상, 원인, 예방 방법, 그리고 효과적인 치료법을 이 글에서 총정리했습니다. 가까운 미래에 찾아올 수 있는 시력 손실의 위험을 줄이고, 건강한 눈을 유지하기 위한 필수 정보를 통해 당신과 당신의 가족의 눈 건강을 지키세요. 지금 바로 읽고, 눈 건강 관리의 첫걸음을 내딛어 보세요
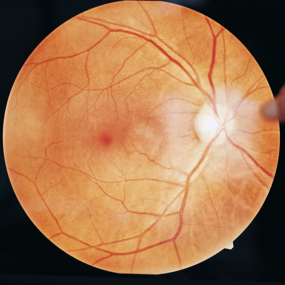
황반변성이란 무엇인가?

황반변성은 망막의 중심부에 위치한 황반이 손상되어 시력에 심각한 영향을 미치는 질환입니다. 황반은 우리 눈에서 물체를 선명하게 볼 수 있게 해주는 중요한 부위로, 이곳에 문제가 생기면 시야의 중심부가 흐릿해지거나 왜곡된 이미지를 보게 됩니다. 황반변성은 주로 노화와 관련이 깊으며, 중장년층 이상에서 빈번하게 발생합니다.
황반변성의 유형

황반변성은 크게 건성과 습성 두 가지 유형으로 나눌 수 있습니다.
건성 황반변성
건성 황반변성은 황반에 노폐물인 드루젠이 쌓이면서 점진적으로 시력이 저하되는 형태입니다. 진행 속도가 비교적 느리지만, 시간이 지남에 따라 시력 손실이 점점 심해질 수 있습니다. 전체 황반변성 환자의 약 85~90%가 건성 황반변성에 해당됩니다.
습성 황반변성
습성 황반변성은 황반 아래에 비정상적인 혈관이 자라나면서 출혈과 부종을 일으키는 형태입니다. 시력이 급격히 저하되며, 방치할 경우 실명에 이를 가능성이 높습니다. 습성 황반변성은 건성에 비해 발생 빈도는 낮지만, 더 치명적인 특성을 가지고 있습니다.
황반변성 증상

황반변성은 초기 증상이 뚜렷하지 않아 조기 발견이 어렵습니다. 하지만 다음과 같은 증상이 나타나면 즉시 안과를 방문하는 것이 중요합니다.
중심 시야의 흐림
중심부의 시야가 흐릿하거나 검게 보이는 증상입니다. 주변 시야는 비교적 정상적으로 보이지만, 시야의 중심이 불분명해지는 것이 특징입니다.
직선의 왜곡
책을 읽거나 직선을 볼 때 선이 구부러지거나 찌그러져 보이는 증상이 있습니다. 특히 창문틀이나 문틀 같은 직선적인 물체를 관찰할 때 왜곡이 더 잘 나타납니다.
시력 저하
글씨를 읽기 어렵거나 색상이 흐릿해지는 등의 시력 저하가 발생합니다. 이러한 증상은 특히 중심부 시야에서 두드러져 일상생활에 큰 불편함을 줍니다.
어두운 점 또는 빈 시야
시야의 일부가 검게 보이거나 중심 시야에서 빈 부분이 생기는 증상입니다. 손상이 심해질수록 이러한 증상이 더 뚜렷해집니다.
색상 구분 능력 저하
색이 흐릿해 보이거나 색깔을 구분하기 어려운 경우도 황반변성의 증상 중 하나입니다. 황반은 색을 감지하는 역할을 하기 때문에 손상되면 이러한 문제가 발생합니다.
조기 치료가 중요한 질환인 만큼 위와 같은 증상이 의심되면 즉시 안과를 방문하여 정밀 검사를 받는 것이 중요합니다.
황반변성의 원인


황반변성은 여러 요인에 의해 발생합니다. 주요 원인은 다음과 같습니다.
노화
황반변성의 가장 큰 원인은 노화입니다. 일반적으로 50대 이후 발병 확률이 급격히 증가하며, 노화로 인해 황반에 퇴행성 변화가 발생합니다.
유전적 요인
가족 중 황반변성 환자가 있다면 유전적으로 발병 확률이 높아집니다. 특히 특정 유전자 변이가 황반변성과 관련이 있다는 연구 결과도 있습니다.
흡연
흡연은 황반변성의 위험도를 2~3배 높이는 주요 원인 중 하나입니다. 흡연은 눈의 혈액 순환을 방해하고, 황반에 산화 스트레스를 가중시켜 손상을 유발합니다.
고혈압 및 심혈관 질환
고혈압이나 심혈관 질환은 황반으로의 혈액 공급을 방해하여 황반변성의 위험을 증가시킵니다. 이러한 만성 질환을 관리하지 않으면 황반 건강에도 악영향을 미칩니다.
비만
비만은 염증을 유발하고, 전신의 혈액 순환에 악영향을 미칩니다. 이는 황반 손상을 일으키는 간접적인 원인으로 작용합니다.
자외선 노출
과도한 자외선 노출은 눈에 산화 스트레스를 유발하여 황반변성의 진행을 가속화할 수 있습니다. 자외선 차단 안경을 착용하는 것이 예방에 도움이 됩니다.
황반변성 치료법

황반변성은 완치가 어려운 질환이지만, 조기 발견과 적절한 치료로 진행을 늦출 수 있습니다. 현재 적용 가능한 치료법은 다음과 같습니다.
항산화제 및 영양 보충제
항산화제, 비타민 C, 비타민 E, 아연, 루테인, 지아잔틴 등의 영양소는 황반을 보호하고 질환의 진행을 늦추는 데 효과적입니다. 이러한 영양소는 시력 건강을 위해 반드시 섭취해야 합니다.
항혈관내피성장인자(VEGF) 억제 주사
습성 황반변성 환자에게 효과적인 치료법입니다. 비정상적으로 자란 신생혈관을 억제하여 출혈과 부종을 줄이고 시력을 보호합니다. 정기적인 주사가 필요하며, 꾸준한 치료로 질환의 진행을 조절할 수 있습니다.
광역학 치료
광역학 치료는 신생혈관을 억제하는 방법으로, 레이저와 약물을 함께 사용해 손상된 혈관을 차단합니다. 이로 인해 출혈과 부종이 감소하고, 시력을 보존할 수 있습니다.
레이저 치료
레이저 치료는 레이저를 이용해 비정상적인 혈관을 제거하는 방법입니다. 습성 황반변성 환자에게 적용되며, 진행을 막는 데 도움을 줍니다.
황반변성 예방을 위한 생활습관

황반변성의 원인을 이해하고, 이를 예방하기 위한 생활습관을 형성하는 것이 중요합니다. 다음은 황반변성 예방을 위한 주요 생활습관입니다.
금연
흡연은 황반변성의 주요 위험 요인이므로 금연이 필수적입니다. 금연은 눈 건강뿐 아니라 전신 건강에도 큰 이점을 제공합니다.
균형 잡힌 식사
루테인, 지아잔틴, 오메가-3 지방산이 풍부한 균형 잡힌 식사를 유지하면 황반을 보호할 수 있습니다. 녹색 채소, 생선, 견과류 등을 꾸준히 섭취하세요.
자외선 차단
자외선이 강한 날에는 선글라스를 착용하여 눈을 보호하는 것이 중요합니다. 자외선 차단 렌즈가 포함된 안경을 사용하는 것도 좋은 방법입니다.
규칙적인 운동
적절한 규칙적인 운동은 혈압과 체중을 관리하고, 눈으로의 혈액 순환을 개선해 황반 건강에 긍정적인 영향을 줍니다.
정기적인 안과 검진
황반변성은 초기 증상이 뚜렷하지 않으므로 정기적인 안과 검진이 필요합니다. 특히 50대 이후에는 1년에 한 번 이상 안과를 방문하여 상태를 점검해야 합니다.
추가로 황반변성에 도움되는 영상 있으니 시청하셔서 좋은 정보 얻어 가시길 바랍니다.
자주 묻는 질문 (FAQ)
Q1. 황반변성은 유전인가요?
네, 황반변성은 유전적 요인이 있을 경우 발병 확률이 높아집니다. 가족력이 있는 경우 조기 검진이 필요합니다.
Q2. 황반변성은 완치가 가능한가요?
완치는 어렵지만, 조기 발견과 적절한 치료로 진행을 늦추고 시력을 유지할 수 있습니다.
Q3. 흡연을 중단하면 황반변성 위험이 줄어드나요?
네, 금연은 황반변성 예방에 큰 도움이 됩니다. 흡연을 중단하면 질환의 진행 속도를 줄일 수 있습니다.
Q4. 루테인 보충제가 황반변성에 정말 효과가 있나요?
루테인은 황반을 보호하는 데 중요한 역할을 하며, 진행을 늦추는 데 도움을 줄 수 있습니다.
Q5. 황반변성 초기 증상은 무엇인가요?
중심 시야의 흐림, 직선 왜곡, 시력 저하 등이 초기 황반변성 증상으로 나타납니다.
Q6. 건성과 습성 황반변성 중 어떤 것이 더 심각한가요?
습성 황반변성이 더 심각하며, 시력이 급격히 저하되고 실명으로 이어질 가능성이 높습니다.
Q7. 황반변성은 젊은 사람에게도 발생하나요?
드문 경우지만, 유전적 요인이나 특정 건강 문제로 인해 젊은 사람에게도 발생할 수 있습니다.
Q8. 자외선 차단 선글라스는 황반변성 예방에 도움이 되나요?
네, 자외선 차단 선글라스는 눈을 보호하여 황반변성 예방에 효과적입니다.
결론
황반변성은 노화와 함께 나타나는 대표적인 눈 질환으로, 조기 발견과 적절한 관리가 매우 중요합니다. 황반변성의 증상을 인지하고, 원인을 이해하며, 예방을 위한 생활습관을 실천함으로써 시력 손실을 최소화할 수 있습니다.
또한, 정기적인 안과 검진을 통해 황반변성을 조기에 발견하고, 적절한 치료를 받는 것이 필수적입니다.
건강한 눈을 위한 핵심 포인트:
- 조기 발견: 초기 증상을 인지하고 정기적인 안과 검진을 받으세요.
- 금연: 흡연을 중단하여 황반변성 위험을 줄이세요.
- 균형 잡힌 식사: 루테인과 지아잔틴이 풍부한 음식을 섭취하세요.
- 자외선 차단: 자외선을 피하고 자외선 차단 선글라스를 착용하세요.
- 규칙적인 운동: 혈액 순환을 개선하고 전신 건강을 유지하세요.
황반변성은 예방과 관리가 가능한 질환입니다. 위에서 소개한 예방 방법과 치료법을 참고하여 건강한 눈을 유지하고, 시력 손실을 방지하세요. 건강한 생활습관과 정기적인 검진을 통해 황반변성의 위험을 줄이고, 눈 건강을 지키는 데 힘쓰시기 바랍니다.
참고문헌
- 대한안과학회: 황반변성의 진단과 치료에 관한 가이드라인.
- 국제안과학회지: 루테인과 지아잔틴의 황반 보호 효과에 대한 연구.
- 한국식품영양학회지: 항산화제의 눈 건강에 미치는 영향.
- 미국심장학회: 심혈관 질환과 황반변성의 상관관계 연구.
- 세계보건기구(WHO): 노화 관련 눈 질환 예방을 위한 권고 사항.
황반변성은 그 심각성만큼이나 예방과 관리가 중요한 질환입니다. 건강한 생활습관과 정기적인 검진을 통해 눈 건강을 지키고, 시력 손실을 예방하는 데 최선을 다하세요.
'건강 > 질환' 카테고리의 다른 글
| 혈소판(platelet) 정상 수치 완벽 가이드: 정상, 고혈소판증, 저혈소판증의 증상과 관리법 (1) | 2024.12.23 |
|---|---|
| 중심성 맥락 망막염: 증상, 원인, 예방 및 치료법 완벽 가이드 (2) | 2024.12.23 |
| 대상포진 초기증상 6가지?, 원인, 치료, 전염성 그리고 예방접종까지 알아보자! (2) | 2024.12.15 |
| 목 임파선염 증상 및 병원에 가야 하는 경우, 원인과 치료 방법까지! (0) | 2024.12.14 |
| 습진의 원인과 관리 비결: 주부습진 및 화폐상 습진에 대한 모든 것 (0) | 2024.12.14 |